+91 91632 84844

info@anushreeagrawal.com

  • Home
  • Our Doctor
  • Braces
  • Treatment
  • Videos
  • FAQ
  • Enquiry
  • Clinic




TREATMENT

TIME for Orthodontic Treatment

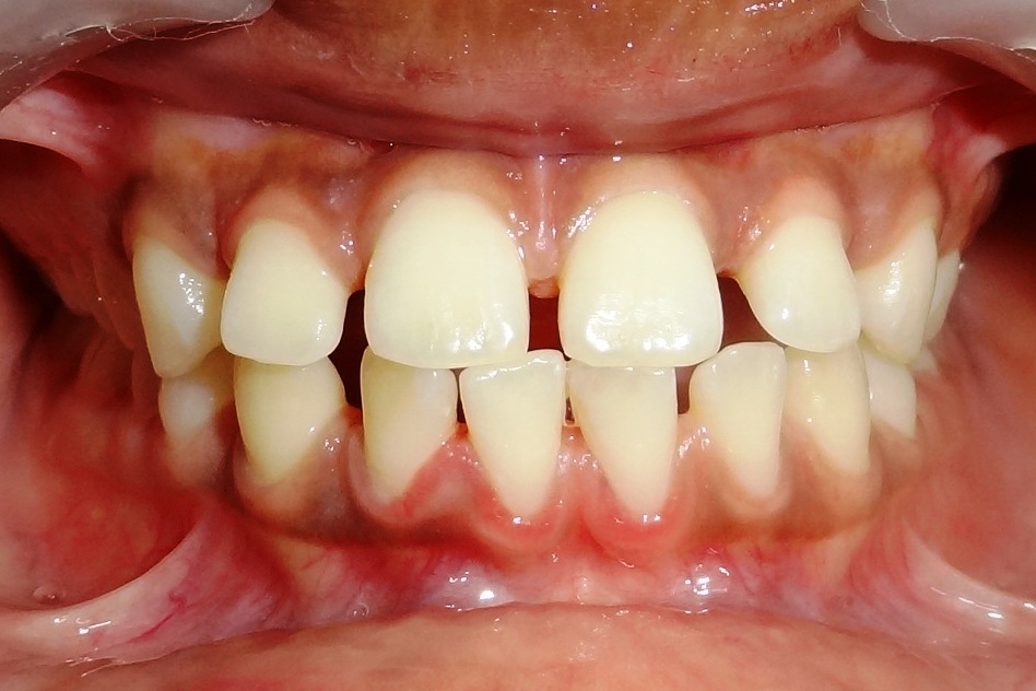
Common Problems

Types Of Appliances

Lingual Braces

Clear Aligners

Mini Implants

Retainers

All Rights Reserved 2014